Non-Invasive Cardiology in Kolkata
Dr. Kuntal Bhattacharya specialises in non-invasive cardiology services and provides a wide array of diagnostic tools to assess and monitor heart health in a safe and effective manner. From basic tests like ECG and TMT to advanced imaging techniques like Echo GLS and TEE, along with continuous monitoring tools like Holter Monitoring and ABPM, we ensure a thorough evaluation of your cardiovascular system to guide the best possible treatment options.
Electrocardiogram (ECG)
An ECG is a simple, yet essential test that records the electrical activity of the heart. It helps detect abnormalities such as arrhythmias, heart attacks, or structural issues within the heart. By analyzing the heart’s rhythm and electrical signals, Dr. Bhattacharya uses ECG results to guide further diagnostic or therapeutic interventions.
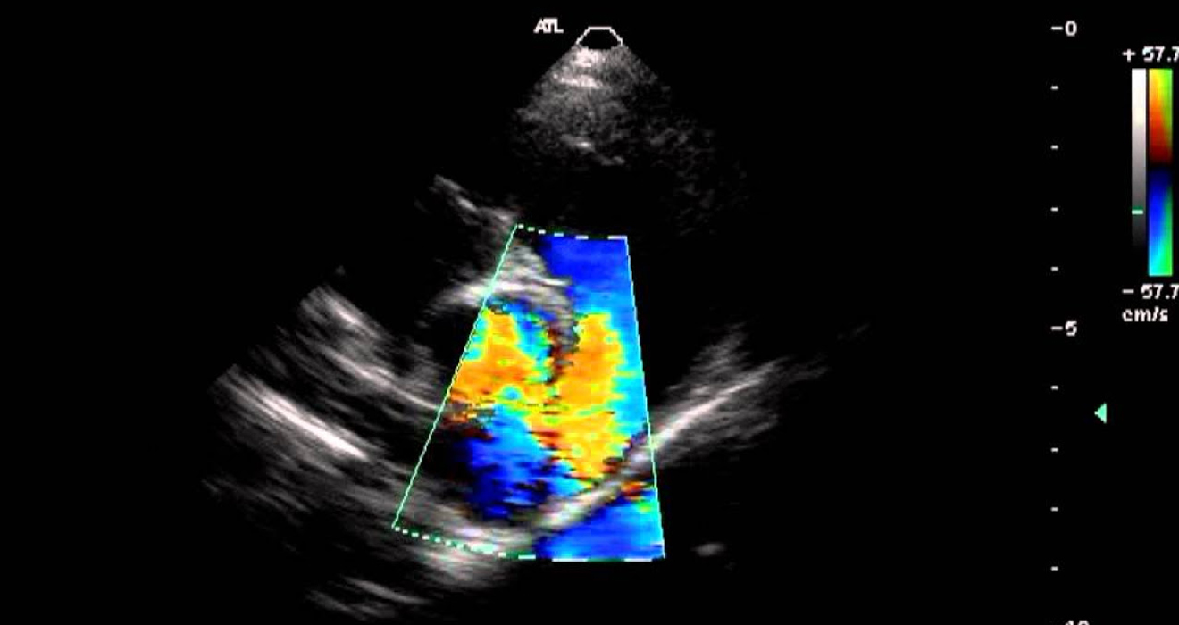
Echo Color Doppler, Echo GLS, and TEE (Transesophageal Echocardiogram)
Echo Color Doppler and Echo GLS (Global Longitudinal Strain) are non-invasive ultrasound tests that provide detailed images of the heart’s chambers, valves, and overall function. These tests are particularly useful in assessing heart function, valve abnormalities, and heart muscle performance.
For more detailed imaging, a Transesophageal Echocardiogram (TEE) is used, where a probe is placed in the esophagus to obtain clearer pictures of the heart’s structure, especially in cases of heart valve disease, clots, or infections.
Treadmill Test (TMT)
A TMT, also known as a stress test, measures how the heart responds to physical exertion. By monitoring the heart’s electrical activity during exercise, this test helps identify issues like coronary artery disease and assess the overall fitness of the heart under stress. Dr. Bhattacharya uses TMT results to evaluate the severity of heart conditions and guide treatment decisions.
Wireless Holter Monitoring and Event Loop Recorder (ELR)
For patients who experience intermittent heart rhythm problems, Wireless Holter Monitoring and Event Loop Recorders (ELR) are vital tools. The Wireless Holter is a portable device worn for 24 to 48 hours that continuously records the heart’s electrical activity, detecting irregular rhythms over a longer period. The ELR is designed to monitor heart rhythms for even longer durations, capturing events as they occur, ensuring a more accurate diagnosis of sporadic arrhythmias.
Ambulatory Blood Pressure Monitoring (ABPM)
ABPM is used to monitor blood pressure continuously over 24 hours while the patient goes about their normal activities. This test helps in diagnosing conditions like hypertension and identifying variations in blood pressure throughout the day. ABPM offers a more complete picture of blood pressure patterns than a single reading taken at a doctor’s office, allowing Dr. Bhattacharya to create a more personalized treatment plan.
Head Up-Tilt Test (HUTT)
The HUTT is a specialized test used to assess the cause of unexplained fainting or dizziness, which could be related to abnormal heart rhythms or blood pressure changes. By monitoring the patient’s response to changes in position, this test helps diagnose conditions like vasovagal syncope and orthostatic hypotension, ensuring that appropriate treatments are initiated.
Our Non-Invasive Cardiology services provide a wide array of diagnostic tools to assess and monitor heart health in a safe and effective manner. From basic tests like ECG and TMT to advanced imaging techniques like Echo GLS and TEE, along with continuous monitoring tools like Holter Monitoring and ABPM, we ensure a thorough evaluation of your cardiovascular system to guide the best possible treatment options.
All Cardiac Treatments:
Precision diagnostics and treatment to restore optimal heart function.
Advanced imaging techniques for accurate heart health assessment.
Specialized procedures to treat challenging coronary artery blockages.
Minimally invasive solutions for complex heart valve and structural issues.
